A picture puzzle featuring a typical>>>>>>

A picture puzzle featuring a typical street scene invites you to test your attention to detail. While the image appears normal at first, a closer examination reveals…

My week-long headache turned out to>>>>>>

My week-long headache turned out to be a brain tumor — I had one unusual sign When 27-year-old teacher Kimberley Baggley experienced a week-long headache, she thought…

Is Your Teen Missing Out on Childhood?>>>>>>>

Is Your Teen Missing Out on Childhood? Expecting Too Much Can Hurt Your Kids’ Bond As teens grow, many parents expect them to help more around the…

You should throw a bottle of water>>>>>>

You should throw a bottle of water under the hotel bed as soon as you check in – Here’s why? Checking into a hotel is often an…

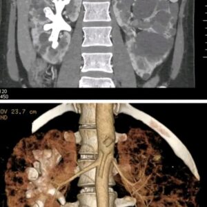
What Are Staghorn Kidney Stones>>>>>>

What Are Staghorn Kidney Stones? (Symptoms, Causes, and Treatment) Staghorn kidney stones are large, complex formations that resemble antlers and can significantly occupy the kidney’s renal pelvis….

Mom sees kids with little “fur ball” at>>>>>>

Mom sees kids with little “fur ball” at the park – looks closer and immediately realizes grave danger While enjoying a day at the playground in Gwinnett…

Is washing your hair twice a day with shampoo bad>>>>>>>

Is washing your hair twice a day with shampoo bad? What’s the ideal amount to wash your hair? Washing your hair is essential for personal hygiene, but…

‘Controversial’ Message Seen On Back>>>>>>>

‘Controversial’ Message Seen On Back Of SUV Sparks Online Debate A bold statement on the back of an SUV has sparked an intense online debate, igniting discussions…

True M-80s are tightly packed with flash powder>>>>>>>

Myths vs. Reality: Are M-80s Like Dynamite? A common myth is that M-80s are as powerful as dynamite or represent a “quarter stick of dynamite.” This claim…

Why Police Officers Touch Your>>>>>

Why Police Officers Touch Your Car’s Tail Lights During Traffic Stops Getting pulled over can be a stressful experience, and you might notice the officer touching your…