What Are Staghorn Kidney Stones? (Symptoms, Causes, and Treatment)

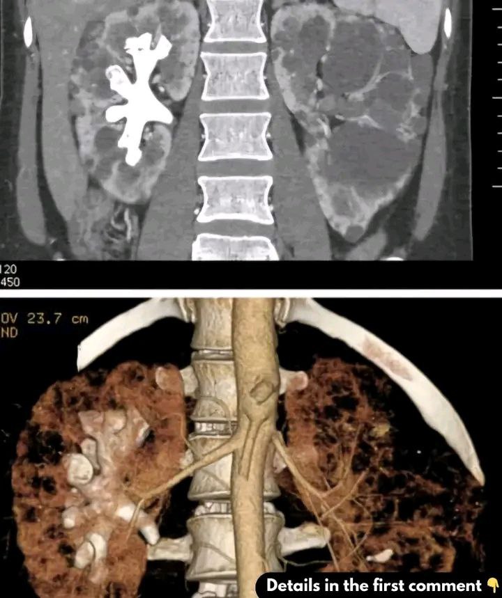
Staghorn kidney stones are large, complex formations that resemble antlers and can significantly occupy the kidney’s renal pelvis. Typically made of magnesium ammonium phosphate (struvite), these stones often arise from recurrent urinary tract infections (UTIs) and are more common in women. Unlike smaller stones that may pass naturally, staghorn stones usually require surgical intervention due to their size.
Symptoms can be subtle initially but may include flank or back pain, hematuria (blood in urine), frequent UTIs, fever and chills, and nausea. Prompt medical attention is crucial, as untreated staghorn stones can lead to severe complications, including kidney failure.
Causes primarily involve bacterial infections that produce urease, creating an alkaline environment conducive to stone formation. Other contributing factors include dietary habits, genetics, and certain medical conditions that disrupt mineral balance.
Diagnosis typically involves imaging tests like CT scans and urine tests to detect signs of infection. Treatment options include percutaneous nephrolithotomy (PCNL), extracorporeal shock wave lithotripsy (ESWL), and, in rare cases, open surgery. Preventative measures focus on hydration, dietary modifications, and prompt treatment of UTIs. Early intervention is key to maintaining kidney health.