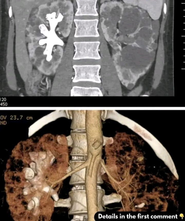
What Are Staghorn Kidney Stones?

Staghorn kidney stones are large, branching stones that occupy the renal pelvis and calyces of the kidney. They are often made of magnesium ammonium phosphate (struvite) and usually result from recurrent urinary tract infections (UTIs), particularly from bacteria that produce urease. These stones are more common in women and require surgical treatment, unlike smaller stones that can pass naturally.
Symptoms include flank or back pain, hematuria (blood in urine), frequent UTIs, fever, chills, and nausea. If untreated, staghorn stones can lead to kidney failure.
Causes include bacterial infections, diet and hydration (high-salt or high-protein foods, dehydration), genetics, and certain medical conditions like cystinuria or hyperparathyroidism.
Diagnosis involves imaging tests like CT scans, X-rays, and ultrasounds, along with urine and blood tests. For bacterial infections, urine cultures help identify the cause.
Treatment options include percutaneous nephrolithotomy (PCNL), extracorporeal shock wave lithotripsy (ESWL), open surgery for complex cases, and antibiotic therapy for infections.
Preventive measures include staying hydrated, modifying diet, treating UTIs promptly, and monitoring calcium and vitamin C intake. Early treatment is key to preventing severe complications.