Kidney stones are never a welcome surprise, but staghorn kidney stones are particularly challenging. These rare and complex stones grow large, often taking up significant space in the kidney. In this article, we’ll explore what staghorn kidney stones are, what causes them, the symptoms they present, and the available treatment options. Understanding these factors can help you manage or even prevent this painful condition.

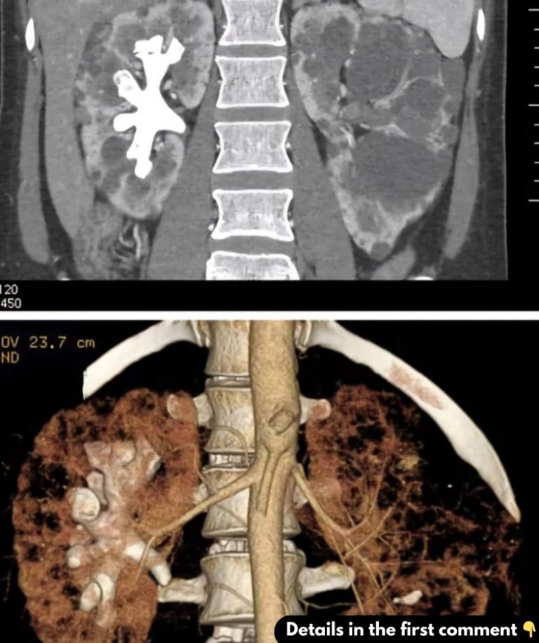
What Are Staghorn Kidney Stones?Staghorn kidney stones are named for their antler-like shape. These stones can become large and branch out, occupying the kidney’s renal pelvis and spreading into the calyces, which are the cavities that collect urine. They are typically made of magnesium ammonium phosphate, also known as struvite, and often result from recurrent urinary tract infections (UTIs). These stones are more common in women than men and pose a significant challenge due to their size and location. Unlike smaller stones that can pass naturally, staghorn stones usually require surgical treatment and can cause serious kidney damage if left untreated.
Symptoms of Staghorn Kidney Stones
Staghorn kidney stones can be tricky to detect early on because they may develop slowly and cause only mild discomfort initially. However, as they grow larger, the symptoms become more noticeable and severe:
1.Flank or Back Pain: Pain usually occurs between the ribs and hip on one side and can radiate to the abdomen or groin.
2.Hematuria (Blood in Urine): Blood may be present in the urine, although it’s often not visible to the naked eye and is only detected through lab tests.
3.Frequent UTIs: Staghorn stones are often associated with recurring UTIs, particularly those caused by bacteria that produce urease, an enzyme that promotes stone formation.
4.Fever and Chills: If a UTI accompanies the stones, it may cause fever and chills.
5.Nausea and Vomiting: These symptoms may occur when the stone irritates the kidney or blocks the urinary tract.
If you experience any of these symptoms, it’s important to seek medical attention, as untreated staghorn stones can lead to complications, including kidney failure.
What Causes Staghorn Kidney Stones?
Staghorn stones primarily develop due to recurring UTIs, but several factors contribute to their formation:
1.Bacterial Infections: Bacteria that produce the enzyme urease break down urea in the urine into ammonia, creating an alkaline environment that facilitates struvite stone formation.
2.Diet and Hydration: While bacterial infections are a significant factor, diet and hydration can also play a role. A high-salt or high-protein diet, along with dehydration, increases the risk of kidney stone formation.
3.Genetics: Some individuals have a genetic predisposition to kidney stones, including staghorn stones. A family history of kidney stones can increase the likelihood of developing these large stones.
4.Medical Conditions: Conditions such as cystinuria, hyperparathyroidism, and certain types of renal tubular acidosis can alter the body’s mineral balance, increasing the risk of stone formation.
How Are Staghorn Kidney Stones Diagnosed?
Early diagnosis is crucial to prevent severe complications. Doctors use the following methods to identify staghorn stones:
1.Imaging Tests: CT scans, X-rays, and ultrasounds are common imaging tools used to locate and assess the size of the stones. CT scans offer detailed images, making them particularly useful for diagnosing staghorn stones.
2.Urine and Blood Tests: Urine tests can reveal the presence of blood or signs of infection, while blood tests can detect high levels of minerals that indicate kidney stones.
3.Urine Culture: For stones linked to infection, a urine culture can identify the bacteria responsible, helping doctors choose the right treatment.
Treatment Options for Staghorn Kidney Stones
Due to their size and complexity, treating staghorn kidney stones requires a specialized approach. Here are the primary treatment options:
1.Percutaneous Nephrolithotomy (PCNL): This is the preferred method for treating large staghorn stones (over 2 cm). A small incision is made in the back, allowing a direct pathway to the kidney. The surgeon uses a nephroscope to break the stone into smaller pieces, which are then removed. This procedure has a high success rate and is less invasive than open surgery.
2.Extracorporeal Shock Wave Lithotripsy (ESWL):ESWL uses high-energy shock waves to break the stone into smaller fragments that can pass naturally through the urine. However, it is more effective for smaller stones and may not be suitable for large staghorn stones.
3.Open Surgery: Though less common today, open surgery may be necessary for very large or complex stones. The surgeon makes an incision to access and manually remove the stone. This method is typically used when other treatments are not possible.
4.Antibiotic Therapy: If a bacterial infection accompanies the stones, antibiotics are prescribed before and after surgery to prevent complications like sepsis. Patients prone to recurrent infections may require long-term antibiotic therapy.
How to Prevent Staghorn Kidney Stones
Preventing staghorn stones involves reducing risk factors associated with kidney stones and UTIs. Here’s how you can reduce the risk:
1.Stay Hydrated: Drink at least 2.5 to 3 liters of water daily to dilute urine and flush out minerals before they can form stones.
2.Modify Your Diet: Limit salt, animal protein, and foods high in oxalates, such as spinach and nuts. Opt for more fruits, vegetables, and plant-based proteins.
3.Monitor Calcium and Vitamin C Intake: While calcium is essential for bone health, excessive supplementation can increase the risk of stones. Avoid high doses of vitamin C, as it can raise oxalate levels.
4.Treat UTIs Promptly: Since staghorn stones often develop from bacterial infections, addressing UTIs quickly can help prevent stone formation.
Conclusion
Staghorn kidney stones are a serious condition that requires timely diagnosis and treatment. These large stones can cause severe pain, infections, and even kidney failure if left untreated. Understanding the symptoms, causes, and treatments can help you manage or prevent this condition. If you suspect you have staghorn stones, seek medical care immediately. Early treatment is key to maintaining long-term kidney health.